Drobečková navigace

Úvod > Zajímavé případy > Kocour Ralf

Kocour Ralf



V září roku 2012 k nám na kliniku přivedli ročního evropského kocoura Ralfa s příznaky akutně vzniklého velice častého zvracení. Dle majitelky 2 dny před nástupem zdravotních potíží pravděpodobně snědl gumový provázek z hračky pro kočky. Kocour byl klinicky bez většího nálezu, ale vzhledem k podezřelé anamnéze bylo přistoupeno k RTG vyšetření dutiny břišní.

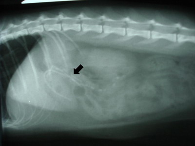
Na rentgenových snímcích bylo naštěstí lineární cizí těleso viditelné a nacházelo se na přechodu žaludku a dvanáctníku. Ve většině případů se umělá nebo gumová cizí tělesa na rentgenových snímcích rozeznat nedají.

 

RTG ukazující cizí těleso na přechodu žaludku a dvanáctníku RTG ukazující cizí těleso na přechodu žaludku a dvanáctníku

 

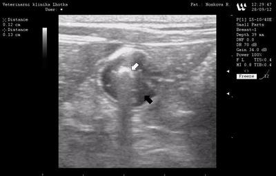
Ultrasonografické vyšetření dutiny břišní, rovněž potvrdilo přítomnost cizího tělesa (bílá šipka) a patologické hromadění tekutiny (černá šipka) ve střevě. Naštěstí vyšetření neobjevilo volnou nitrobřišní tekutinu, která by mohla indikovat perforaci trávícího traktu.

 

Ultrasonografické vyšetření dutiny břišní Ultrasonografické vyšetření dutiny břišní

 

Pozření delšího lineárního cizího tělesa jako tkaničky, gumičky, dokonce i tenké nitky, může být pro stav trávícího traktu podstatně nebezpečnější, než pozření kratšího solidního cizího tělesa (kus hračky, umělé hmoty, dřeva, kosti atd.). Lineární cizí těleso totiž způsobuje zásadnější traumatizaci stěny střeva nebo dokonce její proříznutí. Oproti tomu kratší a objemnější cizí těleso způsobují „jen“ obstrukci (ucpání) střeva.

Každopádně neprůchodnost trávícího aparátu je vždy stav urgentní, život ohrožující a vyžaduje téměř vždy po stabilizaci pacienta chirurgické řešení.

Vzhledem k dobrému klinickému stavu kocoura se po stabilizaci infuzní terapií v krátké době přistoupilo k chirurgickému řešení. Připravilo se operační pole a po injekčním úvodu jsme kocoura uvedli do inhalační anestezie.

 

Kocour v inhalační anestezii

 

Po otevření dutiny břišní se do operační rány vtáhla část žaludku (bílá šipka) a dvanáctníku (černá šipka). Cizí těleso bylo možné lokalizovat pohmatem přes stěnu žaludku a střeva.

 

Průběh operace 

 

Po zarouškování a nasazení situačních stehů jsme otevřeli žaludek a vyjmuli část gumového provázku.

 

Průběh operace Průběh operace

 

Ve většině případů není technicky možné odstranění lineárního cizího tělesa jenom z jednoho místa trávícího traktu a je nutno otevřít trávící aparát na více místech. Po uzavření žaludku jsme proto museli zbytek provázku vyndat ještě z dvanáctníku.

 

Průběh operace Průběh operace

Vyjmuté cizí těleso

 

Následně jsme střevo zašili, zkontrolovali zbytek trávicího traktu a uzavřeli dutinu břišní.

 

Uzavření dutiny bříšní Uzavření dutiny bříšní

 

Po probuzení jsme Ralfovi aplikovali pooperační analgetika a bylo započato s pooperační infuzní a další medikamentózní terapií. Druhý den po zákroku byla kocourovi nabídnuta voda a následující den bylo nasazeno speciální krmivo šetrné pro trávicí trakt. Týden po operaci se kocour vrátil ke své běžné stravě.

 

Kocour po operaci

 

Zdravý Ralf dva měsíce po operaci.

 

Kocour 2 měsíce po operaci