Drobečková navigace

Úvod > Zajímavé případy > Přerůstání zubů u králíků

Přerůstání zubů u králíků



Mezi nejčastější onemocnění králíků patří jednoznačně onemocnění zubů. Majitelé relativně často pozorují přerůstání řezáků (hlodáků) u jejich králíčků z důvodu prodloužené spodní čelisti, ale to bohužel není ten nejzávažnější problém.

Chrup králíků je o něco složitější, než si mnoho z nás myslí. Zuby králíků rostou po celý život a zdaleka to nejsou jen „hlodáky“ (4 hlodáky v horní čelisti a 2 v dolní), které běžně vidíme. K rozmělňování krmiva používá králík hlavně stoličky, kterých je na každé straně 11 (6 v horní a 5 v dolní čelisti). Vzhledem k tomu, že je nemůžeme běžně vidět, je pro majitele nemožné zjistit, že dochází k jejich přerůstání. Hlavně, když se ještě neobjevily další klinické příznaky.

Jak už jsme zmínili, zuby králíků rostou po celý život. Proto, aby nedocházelo k jejich přerůstání, musí se dostatečně obrušovat. Horní a spodní čelisti jsou utvářeny tak, aby zuby v nich zasazené směřovaly přesně proti sobě a při přežvykování se mohly rovnoměrně o sebe třít. K tomu nedochází, když se změní pozice zubů v čelistech při nepravidelném skusu nebo při nedostačujících či abnormálních žvýkacích pohybech.

Změny pozice zubů nebo deformity čelisti mohou být způsobené vrozenou vadou,  zlomeninou, nádorem, infekcí čelisti či onemocněním parodontu. Tyto příčiny bohužel většinou nedokážeme ovlivnit. Naštěstí se nevyskytují tak často. To, co však dokážeme ovlivnit, je adekvátní dieta.

Adekvátní dieta je právě ten důvod, proč nemá divoce žijící králík potíže s přerůstáním zubů a doma chovaný mazlíček ano. Krmivem můžeme ovlivnit zdraví chrupu hned ve dvou směrech.

1. Snižuje riziko metabolického onemocnění kostí vybalancovaným obsahem vápníku, fosforu a vitaminu D, aby nedocházelo k „měknutí“ kostní tkáně čelisti, a tím k jejím deformitám a uvolnění zubů. Navíc si nepřetržitý růst zubů vyžaduje dostatečný přísun vápníku. Na druhé straně přehnaně vysoký obsah vápníku v krmivu způsobuje zvýšenou tvrdost zubů, které se pak obtížněji obrušují.

2. Zabezpečuje dostatečné opotřebení zubů, a tím zabraňuje jejich přerůstání. Ve volné přírodě je jídelníček králíků relativně jednoduchý. Skládá se hlavně z trav, bylin a stébel, které obsahují vysoké procento vlákniny, a ta se musí v dutině ústní po dlouhou dobu rozmělňovat. Zpracováváním této potravy stráví králík podstatnou část dne a je nucen používat ty správné žvýkací pohyby, při kterých se čelisti oproti sobě pohybují i do stran. Tím je zabezpečeno pravidelné a dostatečné obroušení zubů. Krmiva energeticky výhodnější (zrní, pelety, suchý chléb ….) jsou rozkousané relativně rychle a čelisti se při tom oproti sobě pohybují jen ve vertikálním směru. Toto krmení je navíc hodně syté a králík už po jeho pozření nemá potřebu dalšího příjmu potravy. Zuby se tím dostatečně neobrušují, přerůstají, a vytváří se na nich špičky a háčky, které zraňují jazyk a sliznici dutiny ústní. Navíc může docházet k přerůstání zubů nejen ve směru korunek, ale i kořenů - tedy směrem do kosti čelisti. Zuby se tím uvolňují, rotují, alveolární kost se rozrušuje a často do ní pronikají bakterie z dutiny ústní. To může vést k zánětu kosti a vytváření čelistních abscesů. Tyto procesy jsou samozřejmě bolestivé a králík si pak opět vybírá jen lehce rozkousatelnou potravu, což vede k dalšímu přerůstání zubů.

Jedním z prvních příznaků přerůstání zubů je snížený příjem krmiva a ztráta hmotnosti. Králík přestává jíst seno a vybírá si hlavně měkčí a lehce zpracovatelnou potravu. Majitel může pozorovat změnu způsobu, jakým králík přijímá potravu, slintání nebo jen výtok z očí. V pozdějších stadiích se mohou vyskytovat čelistní abscesy, apatie, dehydratace a králík o sebe přestává postupně pečovat.

Výraznější změny na stoličkách pak může veterinář pozorovat při vyšetření dutiny ústní otoskopem. Na toto vyšetření není potřeba králíka uspávat, je relativně jednoduché, ale častokrát nemá dostatečnou diagnostickou hodnotu. Podstatně výhodnější je uvést králíka do celkové anestezie, důkladně vyšetřit dutinu ústní za pomoci speciálních rozvěračů, provést rentgenové vyšetření zubů a samozřejmě ošetřit přerostlé zuby zubařskou frézkou.

Na fotografiích můžete vidět přerůstání stoliček a formování zubů do špiček zraňujících sliznici jazyka:

 

Přerůstání zubů u králíků Přerůstání zubů u králíků

 

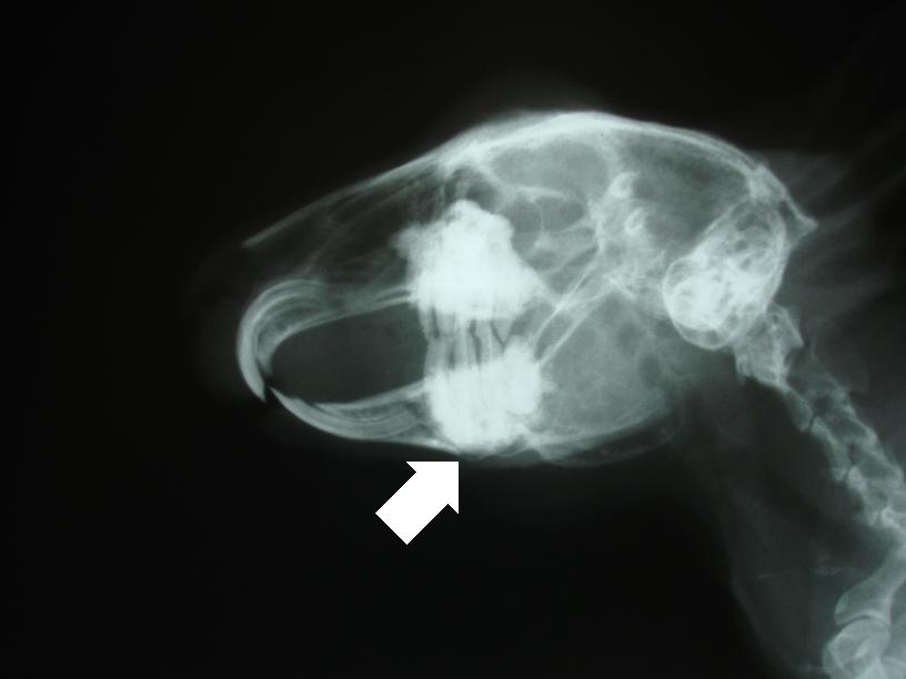
RTG snímek zobrazuje přerůstání zubních kořenů a rozrušování kosti spodní čelisti.

 

RTG snímek čelisti

 

Na následujících fotografiích je zobrazen předchozí případ po zbroušení zubů zubařskou frézou na našem pracovišti.

 

Zákrok Zákrok

 

I když se problém přerůstajících zubů dá řešit jejich zbroušením, toto opatření je většinou jenom dočasné. Pozice a směr růstu zubů jsou už totiž ve většině případů změněné a nedokáží se nadále rovnoměrně obrušovat. Proto je potřeba ošetřovat chrup králíčka relativně často (každých 6-8 týdnů).

 

Pokud chce majitel zabránit problémům s přerůstáním zubů u svého králíka, měl by zabezpečit adekvátní krmení.

 

  • Tu nejpodstatnější a nejobjemnější část krmné dávky by po celý život králíka mělo tvořit kvalitní seno. Přes léto pak zelené krmení (trávy, bylinky apod.) a zelenina.
  • K obrušování hlodáků se nedoporučuje používat suchý chleba nebo pečivo, ale nahradit ho větvičkami dřevin.
  • Granulované krmivo a směsi obilí a semínek berte jako doplňkové krmivo. V žádném případě ho nepodávejte jako hlavní část krmné dávky. I když svou chutností určitě převyšuje seno, nadměrný příjem tohoto krmiva může králíkovi způsobit vážné zdravotní problémy.