Drobečková navigace

Úvod > Zajímavé případy > Naplnění osrdečníku krví

Naplnění osrdečníku krví



Nahromadění krve v osrdečníkové dutině - Hemoperikard

Následující pacient je jedenáctiletý samec zlatého retrívra, u kterého se náhle objevily záchvaty neproduktivního dávení, které po krátké chvilce přecházely do stavů slabosti a následně až do bezvědomí. Bezvědomí trvalo pár minut, po kterých se pes probral, byl chvilku pomalejší, ale po dalších pár minutách se vrátil do normálního stavu.

Klinické vyšetření odhalilo na psovi mírně zvětšené břicho s podezřením na přítomnost tekutiny v dutině břišní.  Vzhledem k záchvatům slabosti a možnosti, že se v dutině břišní tvoří abnormální tekutina, padlo podezření i na možné onemocnění oběhového aparátu. Abychom zjistili, co může být příčinou těchto stavů, provedli jsme několik vyšetření.

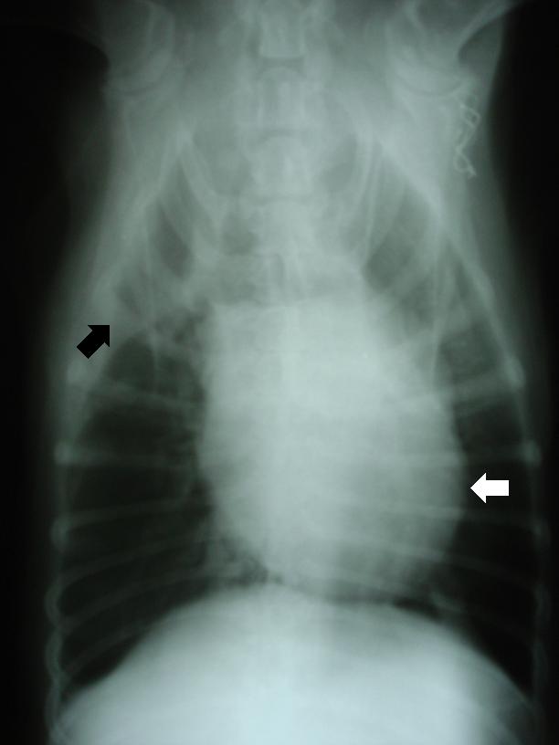
Nejprve rentgenologické vyšetření dutiny hrudní: Na kaudokraniální RTG projekci je vidět mírně zvětšená a diskrétně zakulacená srdeční silueta (bíla šipka) a výskyt menšího množství volné nitrohrudní (pleurální) tekutiny v pravé části hrudníku (černá šipka).

 

Hemoperikard-RTG-DV projekce

 

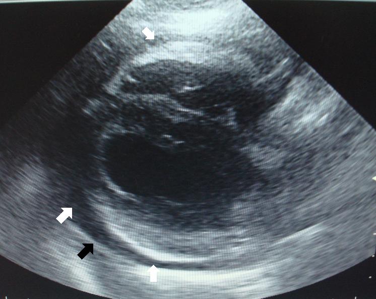
Jako další se provedlo ultrasonografické vyšetření dutiny břišní, které nám potvrdilo přítomnost volné tekutiny (bílá šipka) a abnormální zvětšení jater se zaoblenými okraji jaterních laloků (černá šipka). V jaterním parenchymu byly rovněž identifikovány rozšířené větve systémového žilního krevního oběhu.

 

Hemoperikard-SONO břicha-peritoneální efuze1

 

Na tomto sonografickém snímku je zachycena volná nitrobřišní tekutina (černě zbarvená plocha) a v ní plovoucí klička tenkého střeva.

 

 Hemoperikard-SONO břicha-peritoneální efuze2

 

Nejklíčovějším u tohoto případu bylo ultrasonografické vyšetření srdce. Toto vyšetření nám odhalilo, že  mezi samotným srdcem a osrdečníkem (vakem, který obaluje srdce) se hromadí abnormální množství tekutiny, která v této oblasti za normálních okolností nemá co dělat. Na následujících snímcích je vidět srdce (pravá a levá srdeční komora), kolem kterého je tmavý lem tekutiny (bílé šipky). Ta je od okolí ohraničena světlým (hyperechogenním) lemem - osrdečníkem (černé šipky).

 

Echokardiografie-perikardiální efuze1

 

 Echokardiografie-perikardiální efuze2

 

Patologická tekutina (výpotek) v osrdečníku je ve většině případů krev nebo tekutina s velkou příměsí krve. Příčin, které tento stav způsobují, může být několik. Nejčastější bývají různé typy nádorů, které postihují srdce nebo osrdečník, dále poruchy srážlivosti krve nebo zánětlivé procesy. Nicméně občas se vyskytne toto onemocnění i bez zjevné nebo nalezitelné příčiny (tzv. idiopatický hemoperikard). V tomto případě jsme rentgenem ani ultrasonografem nenašli v hrudníku a na srdci žádný podezřelý útvar, který by připomínal nádor. Rovněž krevní vyšetření nepřineslo žádný patologický nález.

Hromadění tekutiny v osrdečníku způsobuje tlak na srdce, které se tím pádem nedokáže dostatečně naplnit krví v průběhu srdeční akce. Zejména to platí pro jeho pravou komoru a síň, protože tyto části srdce mají slabší svalovinu. Snižuje se tak srdeční výdej a vyvíjí se klinický obraz pravostranného srdečního selhání – stagnace krve ve velkém krevním oběhu a následné hromadění tekutiny v dutině břišní. Dochází ke zvětšování jater a v neposlední řadě nastupují záchvaty slabosti a mdloby.

Proto bylo potřeba tekutinu z osrdečníku odsát. Tzv. perikardiocentézu je určitě lepší dělat psovi, který je v anestezii, protože se sníží riziko nechtěného pohybu a poranění srdce. Proto jsme našeho pacienta uvedli do celkové anestezie a zavedli jsme mu do osrdečníku nitrožilní kanylu napojenou na prodlužovací hadičku a trojcestný ventil. Ideální je, když je pacient monitorován pomocí EKG a kanyla je zaváděna pod kontrolou ultrasonografu.

 

Hemoperikard-USG+EKG

 

Hemoperikard-odsávání výpotku1

 

Obyčejně se tento zákrok doporučuje dělat z pravé strany, protože incidentní poranění pravé strany srdce nemusí mít tak fatální důsledky. V našem případě jsme ale zákrok nedělali naslepo a z levé strany byla tekutina v osrdečníku lépe viditelná a dosažitelná.

 

Hemoperikard-odsávání výpotku2

 

Po zavedení pod kontrolou ultrasonografu se kanyla napojí na hadičku s trojcestným ventilem, přes který se stříkačkou nasává tekutina. V tomto případě jsme odsáli 150 ml krve.

 

Hemoperikard-odsátá krev

 

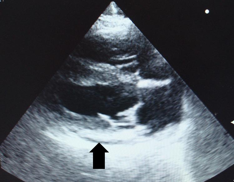
Po odsátí jsme opět sonograficky zkontrolovali srdce a osrdečník (černá šipka ukazuje na zbytek tekutiny, která v osrdečníkovém vaku po odsátí zůstala):

 

Echokardiografie-perikardiální efuze-stav po odsátí tekutiny

 

Ve vzorcích z odsáté tekutiny, které jsme zaslali na další vyšetření, se nepotvrdila přítomnost bakterií, ani abnormálních nádorových buněk.

Po zákroku se pes klinicky znormalizoval. Přestal mít záchvaty a přestala se mu hromadit tekutina v dutině břišní. I když žádné vyšetření nepotvrdilo výskyt nádoru, bylo potřeba pacienta kontrolovat následující dny až týdny, jestli se opět nezačne plnit osrdečník tekutinou. Někdy se totiž může nádor vyskytovat v oblasti, kde není zobrazitelný, nebo je moc malý na to, aby se dal diagnostikovat za pomoci ultrasonografu. Nicméně může způsobovat opětovné plnění osrdečníku krvavou tekutinou. V našem případě se do 5 měsíců od zákroku osrdečník nenaplnil a pes žije spokojeně bez zdravotních potíží. Případ tedy zatím zůstává uzavřený jako takzvaný idiopatický hemoperikard, tedy naplnění osrdečníku krví bez známé příčiny.