Po - Pá 8:00 - 20:00*
So 9:00 - 13:00
Ne Zavřeno
*čas 12,00 - 14,30 je vyhrazen.
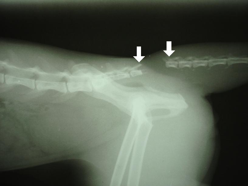
Na podzim roku 2013 k nám přišli na kliniku majitelé s kocourem, který se jim zdál „ nějaký divný“. Kocour se předešlý den toulal venku a vrátil se domů až v noci. Nechtěl si sednout, jenom ležel, odmítal jídlo a zdál se bolestivý v zadní části těla. Klinicky jsme objevili bolestivost v oblasti kořene ocasu. Zde se pohmatem zdálo, že spojení mezi křížovou kostí a prvními ocasními obratli je uvolněné. Povrch kůže byl v oblasti neporušený a v podkoží byl hmatný bolestivý otok. Pro zhodnocení především kostního podkladu v oblasti jsme provedli RTG vyšetření.
Na následujících snímcích je vidět zásadní oddálení (dislokace) 1. a 2. ocasního obratle (šipky). Došlo tedy k „odtržení“ ocasu, respektive ocasních obratlů počínaje 2. ocasním obratlem od zbylé části páteře.
Kosti pánve, zadních končetin, křížové kosti a bederních obratlů jsou rentgenologicky neporušené.
Bohužel to ale nevylučuje závažné neurologického poškození způsobující poruchy inervace nejen ocasu samotného, ale i močového měchýře, zadní část tlustého střeva a konečníku.
V tomto případě se ukázalo, že kocourovi nejenom ocas úplně ochrnul, ale především, že se kocour nedokáže sám spontánně vymočit. Proto jsme mu museli močový měchýř dvakrát denně manuálně vymačkávat a kromě léků proti bolesti a zánětu jsme mu přidali i léky, které zvyšují stažlivost svalových vláken, které močový měchýř vyprazdňují. Doufali jsme, že se funkce močového měchýře postupně znormalizují a kocour bude znovu samostatně bez cizí dopomoci životaschopný.
Poranění měkkých tkání při utržení ocasních obratlů bylo ale natolik rozsáhlé, že narušilo nejen inervaci ocasu, ale i cévní zásobení ocasu krví, což se projevilo po několika dnech odumíráním kůže v zadní polovině ocasu.
Navíc se v oblasti poranění objevil výrazný otok vyplněný tkáňovou tekutinou.
Naštěstí po pár dnech začal kocour znovu spontánně močit, co výrazně zlepšilo dlouhodobou prognózu, takže jsme přistoupili k amputaci ocasu.
Na následující fotografii je vidět příprava kocoura na operaci. Černá šipka ukazuje místo počínající nekrotizace (odúmrtě) kůže.
Po přípravě operačního pole, jsme odpreparovali kůži a podkožní tkáně, až do oblasti dutiny vyplněné tekutinou:
Následně jsme zjistili, že došlo i k úplnému utržení svalů (šipky), které spojují ocas se zbytek těla. Ty jsme postupně uvolnili, a odpreparovali zbytek ocasu.
Po odstranění ocasu nám v podkoží zůstala poměrně velká dutina, ve které by se po zašití kůže opět hromadila tekutina. Proto bylo potřeba dutinu vydrénovat, abychom zabezpečili její odtok. Nakonec jsme uzavřeli operační ránu kožními stehy.
Drény z podkoží jsme odstranili po několika dnech, když přestala produkce tkáňového výpotku. Kocour neměl žádný zdravotní problém a trápil ho jen límec, který musel ještě do vytažení kožních stehů nosit na krku, aby si nerozlízal operační ránu. Dvanáctý den po operaci jsme mu odstranili kožní stehy. Následující fotografie jsou pořízeny cca 4 týdny po operaci, kdy se kocour těšil plnému zdraví a radosti ze života.
Zastávka Lhotka - autobusy č. 121, 139, 150, 157, 197. Více na DPP.cz
Veterinární klinika L+H (Lhotka)
Ve Lhotce 607/30, 142 00 Praha 4 - Lhotka