Drobečková navigace

Úvod > Zajímavé případy > Zlomená stehenní kost malého kotěte

Zlomená stehenní kost malého kotěte



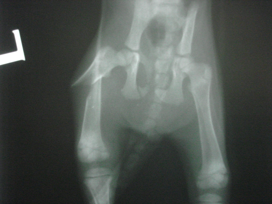
Letošní rok bylo na naše pracoviště přivedeno malé cca tříměsíční kotě, které nešťastnou náhodou vypadlo majitelům z okna. Při pádu si kotě bohužel zlomilo diafýzu stehenní kosti levé pánevní končetiny.

 

Fraktura stehenní kosti kotěte1

Fraktura stehenní kosti kotěte2

 

Vzhledem k tomu, že se jednalo o kompletní šikmou dislokovanou zlomeninu stehenní kosti, bylo po stabilizaci kotěte přikročeno k chirurgickému řešení zlomeniny. To spočívalo v anatomické repozici fragmentů stehenní kosti a k jejich fixaci pomoci nitrodřeňového hřebu a dvou cerkláží tenkým chirurgickým drátem zajišťující stabilitu fragmentů po operaci.

 

Fraktura stehenní kosti kotěte po operaci2

Fraktura stehenní kosti kotěte po operaci1

 

Koťe bez obtíží zvládlo anestezii a operaci a druhý den bylo propuštěno do domácího ošetřování spočívajícího především v omezeném pohybu a zabránění olizování operační rány. Za 10 dnů po operaci byly vytaženy kožní stehy.

Za 3 týdny po operaci bylo provedeno kontrolní RTG vyšetření, které naštěstí neodhalilo žádný problém v hojení zlomené kosti. V této době koťátko již plnohodnotně zatěžovalo operovanou pánevní končetinu.

Za 3 měsíce po operaci bylo provedeno další kontrolní RTG vyšetření, a protože byla již zlomenina rentgenologicky kompletně zhojená, tak se při krátké operaci vytáhl nitrodřeňový hřeb a odstranily se cerkláže ze stehenní kosti. 

Nyní kotě dobře prospívá a operovanou nožičku používá bez nejmenších obtíží.