Drobečková navigace

Úvod > Zajímavé případy > Kamenolom v močovém měchýři

Kamenolom v močovém měchýři



V létě minulého roku dorazila na naše pracoviště vykastrovaná 8 let stará křížená fenka jménem Agátha. V průběhu minulých let netrpěla na močové ani žádné jiné závažnější zdravotní potíže a jedla standartní kvalitní granulovanou stravu. Až v posledních 2-3 týdnech majitelé pozorovali na procházkách častější močení a několikeré pomočení se v bytě, což bylo důvodem návštěvy na klinice.

Agáthu jsme klinicky vyšetřili a nenašli žádné abnormality celkového zdravotního stavu. Horší byly ovšem nálezy při sonografickém vyšetření močového měchýře a vyšetření čerstvého vzorku moči.

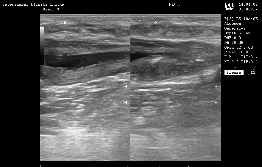
Při sonografickém vyšetření byl sice močový měchýř jen málo naplněný močí, zato byl plný drobných urolitů  od 2 do 7 mm.

 SONO MM před operací 2.jpgSONO MM před operací 1.jpg

Vzorek čerstvé moči byl špinavě žlutý a zakalený, s těmito vlastnostmi:

U.G. 1032, pH 8, bílkoviny 3/5 a krev 3/5.

Močového sedimentu získaného centrifugací moči bylo makroskopicky velké množství a při jeho mikroskopickém vyšetření jsme našli velké množství epitelií přechodného epitelu močového měchýře, erytrocytů a dále velké množství struvitových krystalů. Bakteriurii jsme mikroskopicky nezaznamenali.

Stejný den jsme ještě provedli RTG vyšetření močového měchýře, který byl plný drobných urolitů opacity měkké tkáně, což společně s USG vyšetřením a vyšetřením moči ukazovalo s velkou mírou pravděpodobnosti na struvitovou cystolithiázu.

 InkedRTG MM před operací 2_LI.jpgInkedRTG MM před operací 1_LI.jpg

Po konzultaci s majiteli jsme se rozhodli pro chirurgické odstranění kamenů, jejich následné mineralogické vyšetření a nastavení opatření snižující riziko recidivy cystolithiázy.

Jako součást předoperačních vyšetření jsme provedli kompletní klinické vyšetření, RTG vyšetření hrudníku, EKG vyšetření, hematologické a biochemické vyšetření krve. Všechna tato vyšetření byla bez patologického nálezu. Kromě sonografického vyšetření močového měchýře jsme dále zkontrolovali celou dutinu břišní, především však ledviny, kvůli možnosti výskytu nefrolithiázy. Naštěstí ani zde jsme nic patologického neobjevili.

Následující den jsme uvedli Agáthu do celkové inhalační anestezie a připravili ji na cystotomii.

Před operací jsme Agáthě provedli cystocentézu močového měchýře pod USG kontrolou a následně zavedli do močového měchýře sterilní močový katetr, prodloužený o sterilní prodlužovací hadičku, určený k peroperačním výplachům močového měchýře a uretry.

FOTO před operací 1.jpg

Agáthu jsme připravili na otevření dutiny břišní. 

Po otevření dutiny břišní jsme odrouškovali močový měchýř, který byl palpačně zcela vyplněný drobnými urolity.

20170704_140605.jpgCystotomie 1.jpgCystotomie 2.jpg

 

Po otevření močového měchýře jsme nejprve excidovali kousek sliznice, kterou jsme společně s močí získanou cystocentézou a částí sterilních cystolitů odeslali na bakteriologickou kultivaci. Až poté jsme aplikovali Agáthě nitrožilně peroperační ATB clonu (cefazolin), abychom neovlivnili výsledek kultivace.

Dále následovalo „nekončící“ vytahování a retrográdní i normográdní vyplachování lumen močového měchýře a uretry, abychom po sobě v močovém měchýři ani v uretře nezanechali jediný kamínek.

Poté jsme standardně uzavřeli cystotomickou ránu, provedli omentalizaci stěny měchýře a uzavřeli dutinu břišní, podkoží a kůži.

Cystotomie 3.jpgCystolity 1.jpg Cystotomie 4.jpg

V pooperačním období nedošlo k žádným komplikacím.

Kultivační vyšetření vzorků z močového měchýře bylo negativní, tudíž jsme několik dnů po operaci vysadily peroperačně nasazená ATB (cefazolin).

Za dalších několik dnů dorazil výsledek mineralogického vyšetření cystolitů, který potvrdil předpokládanou struvitovou cystolithiázu.

S majiteli jsme se domluvili na následujících opatřeních, která mají za cíl snížit riziko recidivy struvitové cystolithiázy – pravidelné venčení, zvýšení příjmu vody, pravidelná kontrola příznaků infekce močových cest a striktní používání diet snižujících tvorbu struvitů, konkrétně u Agáthy jsme zvolili Specific CCD Struvite Management.

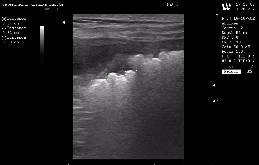
Naštěstí v případě Agáthy tato opatření fungují. Moč má potřebné charakteristiky – UG 1025 až 1030, pH 6 až 6,5 a v močovém sedimentu opakovaně nenacházíme žádné krystaly ani příznaky UTI. Stejně tak při sonografických kontrolách se v lumen močového měchýře netvoří žádné urolity nebo močový písek.

SONO MM po operaci.jpg

Snad tedy Agáthu ani v budoucnu nebude již žádný močový kámen trápit.

IMG-20170705-WA0002.jpg