Drobečková navigace

Úvod > Zajímavé případy > PŘÍLIŠ POZDĚ ŘEŠENÉ NÁDOROVÉ BUJENÍ NA MLÉČNÉ ŽLÁZE

PŘÍLIŠ POZDĚ ŘEŠENÉ NÁDOROVÉ BUJENÍ NA MLÉČNÉ ŽLÁZE



PŘÍLIŠ POZDĚ ŘEŠENÉ NÁDOROVÉ BUJENÍ NA MLÉČNÉ ŽLÁZE

  

Před dvěma měsíci byla k nám na kliniku přivedena třináctiletá fenka křížence s dvěma útvary na mléčné žláze. Majitel udával, že si první bouličky všiml již před rokem. Druhá se objevila před několika měsíci. Obě bouličky se dle majitele pomalu zvětšovaly.

 

Klinické vyšetření odhalilo na pravé straně mléčné lišty v zadní části tuhý útvar velikosti 5 x 3,5 cm a na levé zadní straně menší kulovitý útvar velikosti 2,5 x 2,5 cm. Na obou stranách mléčné lišty byly v tkáni mléčné žlázy navíc rozesety drobnější tuhé ohraničené útvary. Byla stanovena diagnóza mnohočetné nádorové bujení na mléčné žláze.

 

Na fotografii jsou patrné 2 velké nádory na mléčné žláze.

 

Nádory mléčné žlázy

 

Majiteli bylo doporučeno provést vyšetření hledající případné vzdálené metastázy nádorů mléčné žlázy v těle zvířete. Tato vyšetření zahrnují kromě klinického vyšetření i rentgen hrudníku a sonografické vyšetření dutiny břišní. Pokud by tato vyšetření byla negativní, bylo by po předanesteziologickém vyšetření vhodné odstranit nejprve jednu a s časovým odestupem následně i druhou celou mléčnou lištu. Při první operaci byla zároveň doporučena i kastrace fenečky z důvodu odstranění negativního stimulačního vlivu pohlavních hormonů na případný další růst stávajících či nových útvarů na zbylé mléčné žláze. Zároveň bylo doporučeno zmíněné zákroky rozhodně neodkládat, neboť čas je v takovýchto případech náš velký nepřítel.

 

Majitel nás s fenkou na klinice navštívil bohužel až o dalších šest týdnů později s tím, že fenečka začala méně jíst a po fyzické zátěži se mírně zadýchává a občas i trochu kašle. Majitel nám sdělil, že až bude fenečce lépe, tak by přeci jen stál o případné chirurgické řešení nádorů na mléčné žláze.

 

Nádory na mléčné žláze se od minulého vyšetření nezvětšily a stále byly klidné a nebolestivé, ale fenečka vykazovala mírnou dušnost. Přikročili jsme tedy k rentgenologickému a sonografickému vyšetření, abychom zjistili, co se v těle fenky odehrává.

 

Tato vyšetření nám bohužel odhalila četné metastáze v plicích i na orgánech v dutině břišní.

 

Na rentgenogramech jsou šipkami označeny některé z mnohočetných kulovitých metastáz v plicích způsobujících dechové potíže.

 

 RTG LLdx-metastázy nádorů mléčné žlázy1

 RTG DV-metastázy nádorů mléčné žlázy2

 

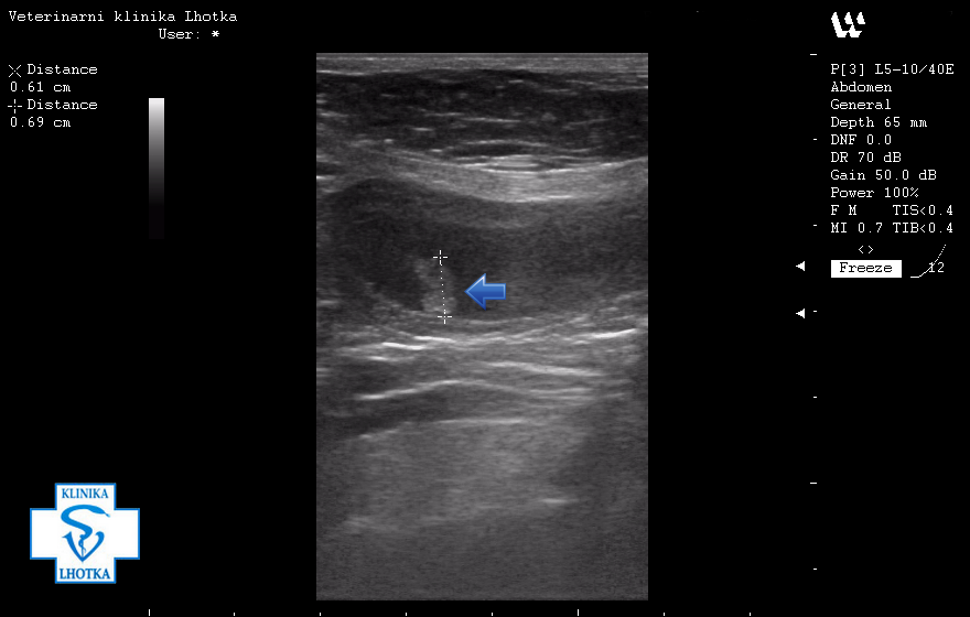
Na ultrazvukových snímcích jsou šipkami označeny metastázy v oblasti jater, levé ledviny, pravděpodobně i v močovém měchýři a v mízních uzlinách pod bederní páteří.


Na tomto obrázku modrá šipka odděluje normální strukturu jater od metastáze. Střed útvaru má jinou strukturu, než nepostižená jaterní tkáň (žlutá šipka).

 

 SONO jater - metastáza nádoru mléčné žlázy1

 

Zde je šipkami ohraničená oblast, kde přechází normální struktura jater v metastázi.

 

 SONO jater - metastáza nádoru mléčné žlázy2

   

Šipkami je označena zvětšená mízní uzlina v břiše pod bederní páteří.

 

SONO - zvětšená sublumbární MU

 

 

 

 

 

 

 

 

 

 

 

 

 

 

Šipkovou je označen podezdřelý útvar v mořčovém měchýři

 

 SONO - masa ze stěny močového měchýře


Na pravé straně je šipkou a šrafováním vyznačen obrys levé ledviny. Na levé straně modrá šipka ukazuje na kulovitý útvar, pravděpodobně metastázu v kůře ledviny.

 

  SONO - metastáza v ledvině

 

V této fázi nádorového onemocnění je již bohužel na chirurgické odstranění nádorů mléčné žlázy příliš pozdě. Majiteli byla doporučena už jen podpůrná léčba, abychom fence zkvalitnili zbytek jejího života.

 

Nádory na mléčné žláze patří mezi nejčastější onkologická onemocnění u starších nekastrovaných fen. Poměr zhoubných nádorů k nezhoubným se udává asi 1:1. Nicméně každý i zpočátku nezhoubný nádor v sobě nese riziko možného zvratu v nádor zhoubný, který může jednoduše metastazovat a způsobit úhyn zvířete. Proto velice důrazně doporučujeme včasné řešení, což nejčastěji bývá včasné chirurgické odstranění všech typů nádorů na mléčné žláze.

 

Zhoubné nádory na mléčné žláze vykazují velký metastatický potenciál. Nejčastěji nacházíme metastáze právě v dutině hrudní, jak popisuje zmíněný případ.

 

Včasné odstranění zhoubných nádorů a případně následná doplňková chemoterapie u fen s rizikem mikrometastáz v těle v době operace může zachránit nebo alespoň výrazně prodloužit a zkvalitnit život Vaší fenečce.

 

Pro tuto fenku bylo již bohužel na efektivní řešení příliš pozdě.

 

 

 

Kam dál?

Pokud jste nebyli delší dobu na kontrole s Vaším mazlíčkem, doporučujeme se objednat.

Nebo můžete také kouknout na další zajímavé případy, které jsme řešili.

Věděli jste, že je péče o zuby domácích zvířat stejně důležitá, jako péče o vaše vlastní zuby?

Chci číst více

Majitelé pejsků se nás často ptají, jak si poradit se strachem během silvestrovských oslav. Proto jsme sepsali krátké doporučení.

Chci číst více

Jak jsme pomohli fence Agáthě.

Chci číst více