Drobečková navigace

Úvod > Zajímavé případy > Srdeční šelest a ... hypertrofická kardiomyopatie u koček

Srdeční šelest a ... hypertrofická kardiomyopatie u koček



Každý veterinář zneklidní, když poslechovým vyšetřením srdce kočky zjistí šelest. U koček se šelest nad srdečním polem nevyskytuje tak často jako u psů, ale příčin jeho vzniku může být poměrně mnoho.  Za normálních okolností protéká krev zdravým kočičím srdcem lineárně a relativně pravidelně, bez různých zpětných proudění nebo turbulencí. V některých případech se ale může stát, že se tato pravidelnost vytratí a do normálního proudění krve v srdci se nám přimíchá menší nebo větší turbulence. 

Asi nejméně zneklidňující důvod šelestu u kočky je stres. U stresovaného zvířete se může objevit zrychlená srdeční činnost a tím i rychlejší průtok krve srdečními oddíly. Ten je pak možné někdy slyšet jako slabý šelest.

Problém je ale v tom, že si nemůžeme být nikdy jisti tím, že šelest, který slyšíme, je zapříčiněn skutečně jen stresem.  Diagnostiku dělají jednodušší i další příznaky, které mohou poukazovat na onemocnění srdce  –  snížená tolerance k fyzické námaze, ztížené dýchání, namodralé sliznice, hromadění tekutiny v hrudníku, v dutině břišní či podkoží. V každém případě je ale vhodné u kočky, která má slyšitelný šelest nad srdečním polem udělat rentgenologické vyšetření hrudníku a echokardiografické vyšetření srdce. Tato vyšetření jsou ve většině případů schopná zjistit diagnózu a nasadit vhodnou léčbu, která má za cíl co nejvíce prodloužit a zkvalitnit život kočky.

Jednou z diagnóz, která se může projevovat slyšitelným šelestem nad srdečním polem je hypertrofická kardiomyopatie:

Je to poměrně časté onemocnění koček, při kterém dochází k postupnému zbytňování svaloviny srdce. Toto zbytnění svaloviny způsobuje zhoršené plnění srdečních komor krví v době diastoly a v některých případech pak i „ucpávání“ jejich výtokových traktů. Toto narušené proudění krve v srdci může způsobovat srdeční šelest.

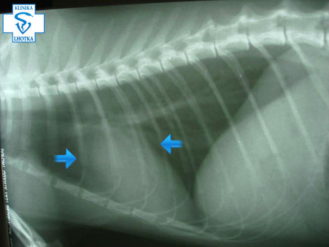
V některých případech nemusí být na RTG-snímcích vidět zvětšení srdce ani změna jeho tvaru  jako u zde prezentovaného kocourka.  Je to dáno  nabýváním  srdeční svaloviny směrem dovnitř ( do centra) srdečních dutin  –  tzv. koncentrická hypertrofie:

 

RTG-LL-koncentrická hypertrofie u kočky 

 

Z tohoto důvodu je potřeba provést ultrasonografické vyšetření srdce (echokardiografie). Za pomocí této zobrazovací metody se můžeme podívat v podstatě přímo dovnitř do srdce.

Na našem pracovišti k ultrasonografickému vyšetření srdce (echokardiografie) využíváme přístroj Landwind Mirror 2 vybavený potřebnými sondami a speciálním softwarem, který nám umožňuje podrobné vyšetření srdce, včetně různých typů dopplerovského zobrazení.

 

 Ultrasonografický přístroj-LandWind Mirror2

 

Na ultrasonografu  je možné „ztluštění“ srdeční svaloviny posoudit a změřit. Na podélném zobrazení srdce ukazují šipky na značně zbytnělou mezikomorovou přepážku a zadní stěnu levé komory:

 

Echokardiografie-HCM-dlouhá osa 

 

Stejné struktury jsou zobrazené v příčném zobrazení srdce a to v systole (při staženém srdci):

 

 Echokardiografie-HCM-krátká osa-systola

 

A diastole (při roztaženém srdci):

 

Echokardiografie-HCM-krátká osa-diastola

 

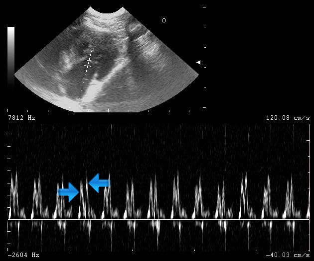
Diagnózu můžeme pak ještě potvrdit pomocí dopplerovského zobrazení průtoku krve mitrální chlopní (z levé síně do levé komory). Krev protéká ze síně do komory ve dvou fázích. Na spektrálním doppleru se tento průtok zobrazuje jako dvě po sobě následující vlny (označené šipkami). První vlna znázorňuje první fázi plnění komory krví, které vzniká roztažením (relaxací) srdečního svalu. Druhá vlna znázorňuje druhou fázi plnění komory, která je způsobená stažením síně. Za normálních okolností je první fáze masivnější a rychlejší, proto se pomocí dopplerovského zobrazení jeví jako vyšší. U hypertrofické kardiomyopatie dochází ke slabší relaxaci komor a tím nižší první vlně.

 

Echokardiografie-HCM-spektrální dopplerovské zobrazení

 

Hypertrofická kardiomyopatie je bohužel nevyléčitelné onemocnění. Po jeho diagnostice by měly být kočce nasazeny léky, které zlepšují relaxaci srdečního svalu, dále léky snižující krevní tlak a tím snižující objemové přetížení srdce. V některých případech i látky, které zabraňují vytváření krevních sraženin uvnitř srdečních síní a v případě výskytu plicního edému se nasazují léčiva na odvodnění plic.Tato terapie je komplexní a má kočce zlepšit kvalitu a délku života. Nicméně v některých případech nemusí být tato léčba dostatečně účinná.

Hypertrofická kardiomyopatie je dědičná choroba, takže i přes to, že má dlouhodobě nepříznivou prognózu je důležité o ní vědět a v případě jejího výskytu provést chovatelská opatření.

 

Kam dál?

Pokud jste nebyli delší dobu na kontrole s Vaším mazlíčkem, doporučujeme se objednat.

Nebo můžete také kouknout na další zajímavé případy, které jsme řešili.

Věděli jste, že je péče o zuby domácích zvířat stejně důležitá, jako péče o vaše vlastní zuby?

Chci číst více

Majitelé pejsků se nás často ptají, jak si poradit se strachem během silvestrovských oslav. Proto jsme sepsali krátké doporučení.

Chci číst více

Jak jsme pomohli fence Agáthě.

Chci číst více


Komentáře


Žádné komentáře doposud nebyly přidány.

Přidat komentář

Vámi zadané osobní údaje budeme zpracovávat za účelem odpovědi. Bližší informace naleznete v zásadách zpracování osobních údajů